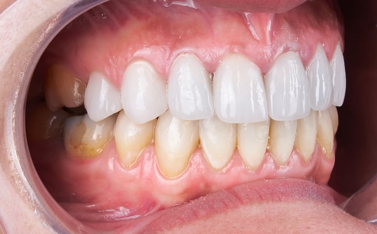
La obsesión por la sonrisa blanca suele venir con una trampa: confundir estética con salud. En realidad, el diente “perfecto” de publicidad es más bien una excepción (o un filtro). En la vida real, el tono más común es marfil, con matices amarillos suaves. Y eso, lejos de ser un problema, puede ser una señal de normalidad.
Por qué tus dientes no deberían ser blanco papel
El esmalte —la capa externa— es translúcido. Debajo está la dentina, naturalmente más amarilla. Por eso, incluso con excelente higiene, lo usual es ver un color cálido, no un blanco quirúrgico.

Además, con el tiempo el esmalte se va adelgazando por uso y microdesgaste; la dentina se nota más y el diente parece “más amarillo”. No es necesariamente mala noticia: puede ser simplemente edad y vida.
Lea más: Cómo saber si estás bebiendo suficiente agua según el tono de tu orina
Cuándo el color sí puede ser una alarma
El “mensaje” del color está más en los cambios rápidos o en manchas puntuales que en el tono base.
- Manchas blancas opacas (sobre todo cerca de la encía) pueden indicar desmineralización inicial: el prólogo silencioso de una caries, muchas veces asociado a placa persistente o a una rutina de cepillado irregular.
- Amarillamiento repentino puede aparecer cuando hay más pigmentos pegados (café, té, vino tinto, mate, tabaco) o cuando el esmalte se desgasta por cepillado muy agresivo o bruxismo. Si además notás sensibilidad al frío, conviene revisar técnica y fuerza.
- Tonos marrones o negros pueden ser manchas extrínsecas profundas, sarro pigmentado o caries. Si el color se concentra en surcos o entre dientes y no sale con higiene, no es para “Googlearlo”: es para control.
- Un diente grisáceo después de un golpe (aunque haya sido “hace meses”) puede sugerir daño del nervio. No siempre duele, y por eso se pasa por alto hasta que el color lo delata.
- Manchas internas desde la infancia (bandas o zonas) a veces se relacionan con fluorosis o con antibióticos como tetraciclinas durante el desarrollo dental. En esos casos, el blanqueamiento común no siempre resuelve.
Lea más: Hipertensión de bata blanca: por qué la presión sube solo en el consultorio
El blanqueamiento: cuándo suma y cuándo complica
Blanquear no es malo por definición, pero tiene letra chica. Los geles con peróxidos funcionan y son los más estudiados, pero pueden aumentar la sensibilidad y, si se usan sin supervisión o de manera repetida, irritar encías y deshidratar el diente (ese “blanco” inmediato a veces es temporal).

Ojo con los atajos caseros: limón, carbón activado y bicarbonato pueden parecer “naturales”, pero tienden a ser abrasivos o ácidos. Traducido: gastan esmalte. Y menos esmalte suele verse… más amarillo.
Hacks cotidianos para mejorar el tono sin castigar el esmalte
Si tu objetivo es verte mejor y cuidar salud, lo básico es sorprendentemente efectivo: cepillado suave dos veces al día con pasta fluorada, limpieza interdental (hilo o cepillos interproximales) y controles. Un truco simple: si tu cepillo parece “explotado”, probablemente estás presionando de más.
Para las manchas por bebidas: enjuagarte con agua después de café o vino ayuda a reducir pigmentos antes de que se fijen. Y si usás enjuague bucal, buscá uno sin alcohol si te reseca (la boca seca favorece placa y mal aliento).
Lea más: Sangrado nasal: causas reales y errores que empeoran la situación
Preguntas frecuentes
¿Dientes amarillos = dientes sucios? No necesariamente. Muchas veces es el tono natural de la dentina o el efecto del desgaste del esmalte.
¿El sarro cambia el color? Sí: puede verse amarillento o marrón y no sale con cepillado; requiere limpieza profesional.
¿Cuándo conviene consultar sí o sí? Si aparece una mancha nueva que crece, un diente se vuelve gris, hay dolor/sensibilidad persistente, sangrado frecuente de encías o mal olor que no mejora con higiene.
