El peligro oculto tras un “regalito”: extraen resorte de bolígrafo del pulmón de una niña de tres años

Exitosa cirugía en el Ineram: una niña tenía un resorte en su organismo.
Exitosa cirugía en el Ineram: una niña tenía un resorte en su organismo.Stefanie Céspedes

Lo que comenzó como un gesto de cariño terminó en una odisea médica de meses. La menor de edad, oriunda de San Lorenzo, convivió con el objeto extraño en su bronquio desde diciembre, comentan desde el Instituto Nacional de Enfermedades Respiratorias y del Ambiente (Ineram).

Una niña de tres años, residente de la ciudad de San Lorenzo, recibió un bolígrafo con una caricatura de astronauta como regalo el pasado mes de diciembre, lo que derivó en un transitar complicado para ella y su familia, indican desde el Ineram.

La niña desarmó el bolígrafo. En un descuido, el pequeño resorte metálico del mecanismo desapareció, pero nadie sospechó en ese momento que había sido inhalado.

Los síntomas era tos constante y un “chillido” característico en el pecho, por lo que realizaron múltiples visitas a servicios de urgencias donde, inicialmente, el diagnóstico no era claro.

Fue una paciente de la madre de la niña, quien casualmente es doctora, la que sugirió lo que nadie había solicitado hasta entonces: una radiografía de tórax.

El hallazgo y la compleja cirugía

Una niña fue intervenida tras inhalar un resorte que quedó dentro de su organismo.
Una niña fue intervenida tras inhalar un resorte que quedó dentro de su organismo.

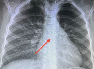
La radiografía reveló la presencia nítida de un resorte de bolígrafo alojado en el bronquio fuente izquierdo.

Debido al tiempo transcurrido desde diciembre, el cuerpo extraño ya presentaba signos de integración con el tejido pulmonar.

El equipo médico realizó, este jueves, la extracción mediante un procedimiento de alta complejidad, realizando maniobras de “desenrosque” para liberar el metal que ya prácticamente formaba parte del bronquio.

“Fue una intervención delicada, el objeto estaba muy adherido debido al tiempo que permaneció allí”, explicaron los profesionales intervinientes. La paciente se recupera favorablemente.

Profesionales de la salud instan a supervisar los juguetes y objetos que llegan a manos de niños pequeños.