Un paciente ingresó al Instituto Nacional de Enfermedades Respiratorias (Ineram) para un procedimiento habitual: el cambio de su cánula traqueal, tras haber quedado con secuelas neurológicas y traqueostomía permanente luego de un accidente de motocicleta.
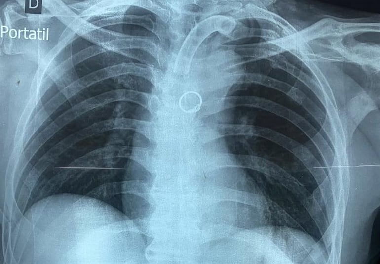
Como parte del protocolo, se le practicó una radiografía de control. Fue entonces cuando apareció una imagen extraña: una figura circular en el bronquio fuente izquierdo.

Lo que inicialmente parecía un error técnico o un “artefacto” en la imagen, terminó confirmándose mediante tomografía: se trataba de un objeto real.
El hallazgo: un anillo de oro en el bronquio
El neumólogo Carlos Morinigo relató el caso, señalando que el equipo médico se encontró con “lo impensado”: un anillo de oro de tamaño considerable alojado en el pulmón.
Ante la situación, los especialistas optaron por retirar la cánula traqueal e ingresar con un broncoscopio rígido por la vía oral. Finalmente, lograron ubicar y extraer el objeto.
“El anillo estaba brillando donde nunca debería estar”, describió el médico.

Lea más: Ineram reporta cuatro casos de niños que tragaron monedas en lo que va del año
Más preguntas que respuestas
Más allá del éxito del procedimiento, el caso deja un interrogante central: ¿cómo llegó un anillo al pulmón de un paciente traqueostomizado?
Según el relato médico, no se detectaron obstrucciones ni alteraciones en la vía aérea superior que expliquen el ingreso del objeto. Tampoco se precisó en qué momento pudo haber ocurrido.
Cuando la medicina no alcanza a explicar
El propio especialista reflexionó sobre lo ocurrido como uno de esos casos en los que la ciencia no tiene respuestas inmediatas.
“Muchas veces no solo curamos, también intentamos entender lo inexplicable”, expresó.
